DNF-10 Nguyên liệu mới giảm cân vượt trội – Nghiên cứu lâm sàng
DNF-10 là gì?
DNF-10 là các phân tử peptid được chiết xuất từ chủng nấm men Saccharomyces cerevisiae - Chủng nấm men được sử dụng phổ biến trong thực phẩm và đồ uống lên men, có trọng lượng phân tử thấp dưới 10 kDa, được sản xuất bằng công nghệ thủy phân độc quyền với bromelain đã được cấp chứng nhận sáng chế tại Hàn Quốc.
Thành phần chính của nguyên liệu DNF-10 bao gồm: protein thô từ nấm men (64,9%; 14% axit glutamic), carbohydrate (26,9%), hàm ẩm, chất béo thô…
Cơ chế giảm cân vượt trội của dòng nguyên liệu DNF-10

Cơ chế giảm cân của dòng nguyên liệu DNF-10 là tạo ra cảm giác no khi sử dụng. Từ đó làm giảm nhu cầu ăn hàng ngày, đặc biệt với nhóm Carbonhydrat, dẫn đến giảm cân.
Cơ chế gây no của DNF-10 như sau
- Kích thích dạ dày giảm tiết Ghrelin (đây là hormon gây thèm ăn) gây chán ăn.
- Ghrelin giảm, tác động ngược lên vùng ở dưới đồi (hypothalamic regions), não thất (paraventricular nucleus), sau bên vùng hạ đồi (lateral hypothalamic area). Sau một thời gian thì DNF-10 tăng tiết Leptin. Thiếu hụt leptin là yếu tố quan trọng trong các chứng béo phì do nó liên quan đến “mức thèm ăn” của cơ thể.
DNF-10 gây no do vậy nó giúp cơ thể giảm nhu cầu ăn uống hàng ngày, đặc biệt là nhóm chất carbonhydrat.
Nghiên cứu lâm sàng tác dụng giảm cân của nguyên liệu DNF-10

Thiết kế nghiên cứu
Đánh giá tác dụng DNF-10 đối với giảm cân nặng và giảm mỡ thừa trong cơ thể với mức liều thấp 500mg trong 8 tuần trên 30 phụ nữ tuổi trưởng thành có chỉ số BMI ít nhất 25kg/m2.
Đánh giá tác dụng DNF-10 liều cao 1000mg về tác dụng giảm mỡ bụng trong 10 tuần trên 54 người cả nam và nữ có chỉ số BMI ít nhất 25kg/m2
Những người tham gia nghiên cứu được hỏi sự thay đổi khẩu vị trong ăn uống dựa trên bảng câu hỏi “thói quen sử dụng thực phẩm” (Noh et al., 2008).
Kết quả nghiên cứu
Thay đổi nhu cầu ăn uống
Sự thay đổi trong tổng năng lượng ăn vào (A), lượng carbohydrate (B), lượng protein (C) và lượng lipid (D) trong 8 tuần bổ sung DNF-10 với mức liều 500mg.
DNF-10 thay đổi cảm giác thèm ăn, sau 8 tuần bổ sung vào cuối đợt nghiên cứu nhóm sử dụng DNF-10 ăn lượng thức ăn ít hơn so với ngày đầu nghiên cứu.

Giảm trọng lượng cơ thể và khối lượng chất béo.
Trọng lượng cơ thể và chỉ số BMI đã giảm đáng kể ở nhóm DNF-10 uống liều 500mg vào tuần thứ 4 và vào cuối giai đoạn nghiên cứu (tuần thứ 8). Trọng lượng cơ thể giảm -1,61 kg ở tuần thứ 8 trong khi trọng lượng của nhóm đối chứng không thay đổi đáng kể.
Khối lượng chất béo cơ thể và tỷ lệ khối lượng chất béo giảm đáng kể sau 8 tuần bổ sung DNF-10 với mức liều 500mg. (Xem kết quả chi tiết ở bảng 1)

Trọng lượng cơ thể giảm trung bình -2,60 kg ở nhóm sử dụng DNF-10 trong khi ở nhóm đối chứng khối lượng cơ thể tăng +0,83 kg. Chỉ số BMI ở nhóm đối chứng, +0,29 kg / m² so với -0,90 kg / m² ở nhóm DNF10 / 1000.
Sự khác biệt về khối lượng chất béo trong cơ thể giữa thời điểm ban đầu và tuần thứ 10 ở nhóm sử dụng DNF-10 với mức liều 1000mg lớn hơn đáng kể so với nhóm đối chứng: ở nhóm đối chứng, +1,12 kg so với -2,00 kg. (Xem chi tiết bảng 2)

Kích thước vòng bụng
Sự thay đổi độ dày mỡ bụng và chu vi vòng bụng sau 10 tuần sử dụng DNF-10 mức liều 1000mg và nhóm chứng là -4,88 mm. Trong đó nhóm chứng tăng+1,16 mm và nhóm sử dụng DNF giảm -5,04 cm ở cuối nghiên cứu (xem chi tiết bảng 4)

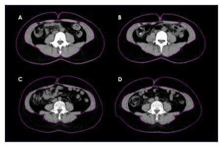
Giảm chỉ số kích thước vòng bụng thông qua hình cảnh đo bằng CT-Scan trước và sau 10 tuần bổ sung DNF. Mỡ bụng được đo bằng chụp cắt lớp vi tính (CT) trong nhóm chứng ở W0 (A) và W10 (B) và trong nhóm DNF-10/1000 ở W0 (C) và W10 (D)

Ưu điểm của dòng nguyên liệu giảm cân DNF-10
Nguyên liệu dạng bột, tan hoàn toàn trong nước (độ tan theo tỷ lệ 1:2),
Định lượng tổng Protein >40% (PP Kjeldahl method)
Trọng lượng phân tử trung bình ≤ 10 kdalton
Ổn định ở PH từ thấp đến cao (PH 3,6-9), nhiệt độ 100 độ C
Thông tin chi tiết vui lòng liên hệ:
Công ty TNHH Dược Phẩm Nasol Quốc Tế
Hotline: 0387 368 760
Email: info@nasol.com.vn Web: nasol.com.vn
Tin tức khác
- Axit Boswellic là gì? ứng dụng trong điều trị bệnh mãn tính
- Ngải cứu trắng (Artemisia herba-alba) là gì?
- Hồ đằng bốn cạnh (Cissus quadrangularis) là gì?
- Cỏ xạ hương (Thyme): thành phần hóa học và đặc tính trị liệu
- Phong lữ châu Phi: Thảo dược điều trị nhiễm trùng đường hô hấp
- Rosavin là gì? Nguồn gốc và các lợi ích sức khỏe
- Rễ Kava chữa rối loạn lo âu như thế nào?
- Curuminoid là gì? Cấu trúc nguồn gốc và ứng dụng thực tế
- Lợi ích sức khỏe của nghệ đen (Curcuma phaeocaulis)
- Lá Boldo (Peumus boldus): thành phần và công dụng
Tin nổi bật
Những lưu ý khi sử dụng Dầu nhuyễn thể
20/09/2021
Lợi ích sức khỏe của Tía tô đất (Lemon Balm)
17/09/2021
